Dental Implants
Dental implants are an excellent choice if you face the loss of one or more teeth, or if you are dissatisfied with dentures.
What are dental implants?
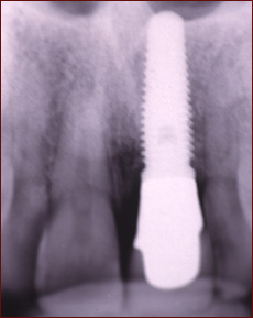
Dental implants are titanium posts that are patterned after the structure of your natural teeth. They are placed at the site of the missing teeth and offer function and esthetics nearly identical to the missing teeth.
Implant Is Patterned After The Natural Root and Tooth.

Implant is Placed into Space to Replace Root and Tooth.

*Images courtesy of 3i Implant Innovations

Why are dental implants considered the preferred method of tooth replacement in dentistry?
- Dental implants offer many benefits when compared to conventional dental treatments
- The most natural and long-lasting replacement for missing teeth available
- Success rates, esthetics, and longevity far superior to any other type of tooth replacement, including fixed bridge-work
- Conservation of the adjacent natural teeth, as implants avoid the need for removal of tooth structure required by a bridge
- Impervious to decay
- Avoiding the increased likelihood of root canals, decay, tooth fracture, and periodontal disease on the teeth that must support bridges
- Preservation of the jawbone to prevent bone deterioration and loss of esthetics and function, which occurs frequently with bridges, partials, and dentures
- A renewed sense of self-confidence from being able to chew, talk, laugh and smile without worry
What about the cost of implants?
Dental implants are an excellent, long-term value as they are the most natural replacement possible and have superior longevity. We want to provide you with excellent implant treatment that is also affordable for you and your family. We utilize technologies to minimize the number of procedures necessary, as well as the cost of your implant procedure. You will be presented with a treatment plan and cost estimate as well as a variety of ways to make it affordable for you to pursue your recommended treatment.
What about the time it takes from start to finish?
Our doctors perform state-of-the-art dental implant procedures that decrease the treatment time required from start to finish. It is now possible to place the dental implant at the time of extraction, in many cases. We are also able to place a provisional crown earlier in the healing process, aided by new technologies like platelet-enriched plasma and sophisticated implant integration surfaces.
Will my dental implant be esthetic?
Our top priority is to give our patients a beautiful result. This is accomplished in several ways. We assure that the site for the dental implant has adequate hard and soft tissue to support an esthetic implant. When possible, we will place the dental implant at the time of extraction to preserve tissue to support an ideal crown. We also work closely with your dentist to achieve an outstanding result.
What other implant services do you provide?
- "Ridge preservation" bone grafting in conjunction with tooth extraction to preserve bone
- Bone grafting to allow placement of dental implants in areas with insufficient bone
- Sinus lifts for dental implant placement to replace missing upper, back teeth
- Dental implants to support "locked-in" implant dentures

