Gum Recession
Soft Tissue Grafting
Gum recession is the exposure of root surfaces, which make teeth appear longer. This can be caused by trauma from a tooth brushing habit or from gum infection. Exposed root surfaces are unappealing and leave you at risk for tooth sensitivity and decay.
Soft tissue grafting is designed to cover exposed roots and will predictably stop further recession. This will protect the vulnerable root surface from decay and temperature sensitivity. The result is a natural, pleasing appearance to the gum tissue and a repair to the damage caused by gum recession.
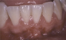
Before and After Pictures of Three Cases of Recession Treated with Soft Tissue Grafting
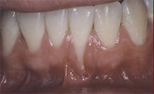
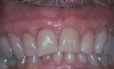
Case #1
![]() |
![]() |
|
| BEFORE | AFTER |
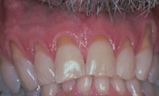
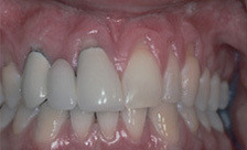
Case #2
![]() |
![]() |
|
| BEFORE | AFTER |
Case #3
![]() |
![]() |
|
| BEFORE | AFTER |
I have been aware of my gum recession for a long time. What is the risk of not treating this recession?
Gum recession will not repair itself naturally. It may appear to be stable in your mouth, however, there is a gradual decrease in the bone support over the root surface, which results in an increase in gum recession over time. The vulnerable exposed root surface is also at risk for decay and temperature sensitivity. Soft tissue grafting is a predictable repair for gum recession.
How is the treatment for gum recession accomplished?
Donor tissue is used from the roof of your mouth (palate) or a piece of tissue bank collagen material (Alloderm® or PerioDerm™) is used as the graft. This is carefully attached over the exposed root surfaces after cleaning them thoroughly. To provide a natural appearance to the grafted site, your existing gum tissue is moved down over the graft and secured in place.






